AI Diagnosis Use Cases

Four Use Cases in CRC Detection

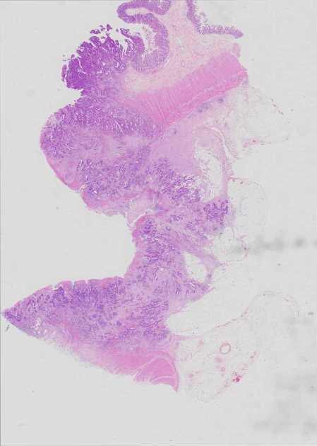
Use Case 1

2403668

Overview Statistics B details


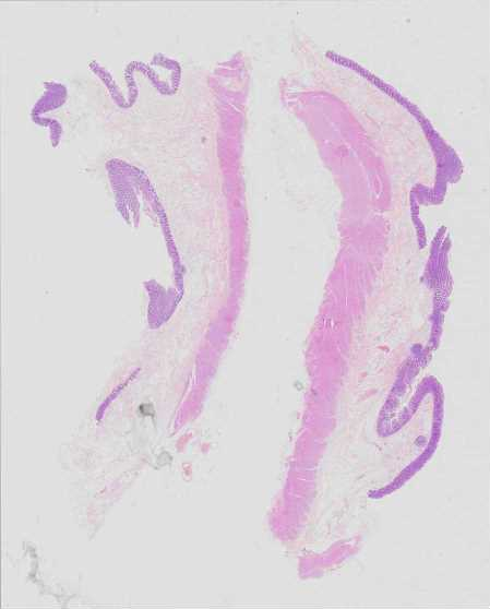
Use Case 2

041717172507

Overview Statistics B details


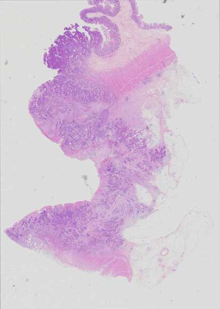
Use Case 3

041730593781

Overview Statistics B details


Use Case 4

240366843437

Overview Statistics B details